Atrás

23 de Septiembre del 2025

Amalgama o resina: diferencias y cuál te conviene

Estética, durabilidad, salud y recomendaciones clínicas de Icon Dental

La pregunta “¿amalgama o resina?” es una de las más comunes en odontología restaurativa. Aunque ambas opciones se han utilizado para tratar caries y reparar dientes dañados, la realidad es que los materiales modernos como las resinas compuestas han desplazado a la amalgama por sus ventajas estéticas, funcionales y de salud a largo plazo.

En Icon Dental te ayudamos a tomar una decisión informada, evaluando tu caso clínico, tus necesidades estéticas y tu estilo de vida. A continuación, te explicamos lo que debes saber sobre estos materiales dentales y por qué la resina se ha convertido en la opción preferida.

 

Diferencias clave entre amalgama y resina dental

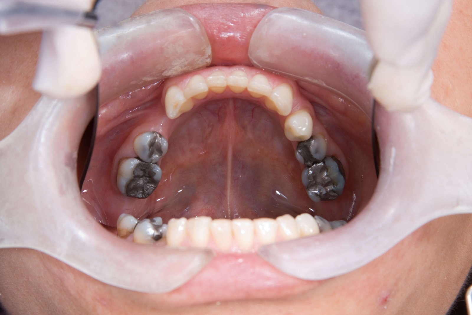
Composición y apariencia

  • Amalgama: mezcla metálica de mercurio, plata, estaño y cobre. Su color gris metálico rompe con la estética natural de la sonrisa.
  • Resina: material compuesto de resina acrílica y partículas cerámicas. Se mimetiza con el color natural del diente, ofreciendo una apariencia discreta y estética.

 

H3. Durabilidad y resistencia 
  • La amalgama fue reconocida por su resistencia en molares, aunque con el tiempo tiende a presentar microfiltraciones de bacterias, lo que puede causar caries recurrentes y sensibilidad.
  • Las resinas modernas han mejorado su resistencia gracias a los avances tecnológicos, pudiendo usarse incluso en molares sin comprometer su durabilidad.

 

H3. Técnica de colocación 
  • La resina se adhiere químicamente al diente, lo que conserva más estructura dental y reduce el riesgo de fracturas.
  • La amalgama se empaca dentro de la cavidad, sin adherirse al diente. Esta falta de adhesión puede generar microfiltraciones y debilitamiento del tejido dental con el tiempo.

 

Ventajas y desventajas de cada opción restaurativa

Beneficios de la resina dental

  • Alta estética: imita perfectamente el color del diente.
  • Adhesión química: protege la estructura natural y evita filtraciones.
  • Elasticidad similar al diente: reduce fracturas graves.
  • Material biocompatible: libre de mercurio y metales.
  • Tecnología avanzada: hoy en día resiste la fuerza de masticación en muelas.

 

Limitaciones de la amalgama

  • Apariencia metálica poco estética.
  • Genera manchas en el diente y tatuajes en las encías.
  • No se adhiere al diente, lo que favorece microfiltraciones bacterianas y sensibilidad.
  • Puede volver el diente más frágil y propenso a fracturas catastróficas.

 

Consideraciones clínicas y económicas

La resina puede tener un costo mayor, pero su valor estético y funcional la convierte en la alternativa más recomendada actualmente. La amalgama, aunque más económica, está en desuso en la odontología moderna debido a sus limitaciones y efectos secundarios.

Agenda tu valoración con nosotros y descubre qué restauración te conviene. 


¿Cuándo conviene cambiar una amalgama por resina?

Indicaciones clínicas para el reemplazo 

  • Filtraciones, fracturas o desgaste de la amalgama.
  • Presencia de manchas o sensibilidad en el diente.
  • Necesidad de tratamientos estéticos complementarios.

 

Mitos sobre el mercurio en amalgamas

Si bien contienen mercurio, está en una forma estable. Sin embargo, ya no se recomienda colocar nuevas amalgamas y solo se sustituyen cuando presentan fallas clínicas.

 

Evaluación profesional personalizada

En Icon Dental analizamos tus restauraciones actuales, el estado de tus dientes y tus expectativas. No todas las amalgamas requieren cambio inmediato, pero sí conviene evaluar su condición y considerar opciones más modernas.

y recibe un plan personalizado de tratamiento.


Cómo saber qué tipo de restauración te conviene
 

Criterios clínicos utilizados por el odontólogo 

  • Ubicación y función del diente.
  • Nivel de desgaste o caries.
  • Edad y hábitos del paciente.
  • Presupuesto y expectativas estéticas.

 

Expectativas del paciente y su estilo de vida

Mientras algunos priorizan estética y salud, otros buscan resistencia. La resina equilibra ambas necesidades y es hoy la opción más utilizada.

 

Recomendaciones desde Icon Dental

Actualmente, las resinas son el estándar en restauraciones dentales gracias a su durabilidad y aspecto natural. Nuestro equipo personaliza cada tratamiento para que sea funcional, duradero y armonioso con tu sonrisa.
Reserva tu consulta en Icon Dental
y da el paso hacia una sonrisa más sana y estética.


Preguntas frecuentes sobre resina y amalgama dental 

 

  • ¿Cuál dura más, la resina o la amalgama?

    La amalgama solía durar más en zonas de alta presión, pero las resinas actuales alcanzan una durabilidad similar sin los problemas asociados al metal.

 

  • ¿La resina dental se mancha o cae con el tiempo?

    Puede pigmentarse si no hay buena higiene, pero se puede pulir o reparar fácilmente.

 

  • ¿Debo cambiar mis amalgamas solo porque son viejas?

    No siempre, aunque sí conviene revisarlas. Si presentan filtraciones o fracturas, lo mejor es reemplazarlas por resina.

 

  • ¿La resina es más costosa que la amalgama?

    Sí, pero ofrece estética, seguridad y biocompatibilidad, lo que la convierte en una inversión en tu salud dental.

 
Aunque la amalgama fue un material muy utilizado, las resinas han demostrado ser más seguras, estéticas y funcionales en la odontología actual.

 
En Icon Dental te guiamos con honestidad y experiencia para elegir la restauración que mejor se adapte a tu sonrisa.

 
Agenda tu cita hoy y redescubre tu mejor sonrisa.

¿Conoces a alguien a quien pueda interesarle éste servicio?

Compártele esta Página

Artículos recientes

Enterete de las noticias en Icon Dental